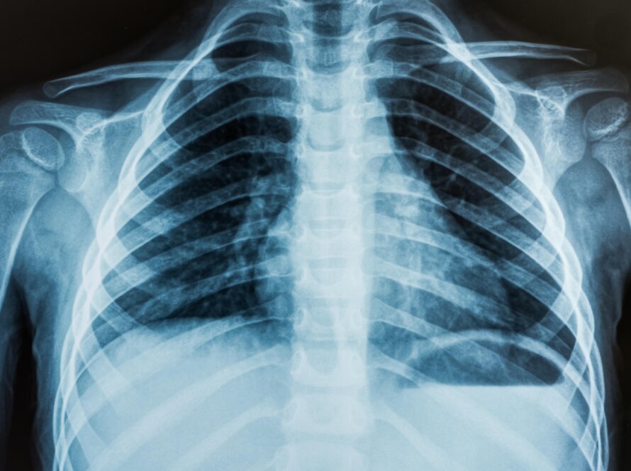
Radiografie (RX) a Cassino – Clinica Sant’Anna La radiografia (RX) è uno degli esami più diffusi in diagnostica per immagini. Alla Clinica Sant’Anna di Cassino disponiamo di sistemi digitali che…
Ecografia a Cassino presso la Clinica Sant’Anna L’ecografia è un esame diagnostico non invasivo che utilizza ultrasuoni per visualizzare organi e tessuti interni. Presso la Clinica Sant’Anna di Cassino è…
Visita Otorinolaringoiatrica presso la Casa di Cura Sant’Anna L’otorinolaringoiatria si occupa di orecchio, naso e gola, con attenzione a disturbi respiratori, uditivi e delle vie aeree superiori. La Casa di…
Visita di chirurgia bariatrica La visita di chirurgia bariatrica è il primo passo per valutare il percorso di cura dell’obesità grave. Presso la Casa di Cura Sant’Anna, gli specialisti analizzano…
Consectetur adipiscing elit, sed do eiusmod tempo adipiscing
Visita di Chirurgia Ambulatoriale ed Endoscopica Casa di Cura Sant’Anna La chirurgia ambulatoriale diagnostica ed endoscopica consente di eseguire piccoli interventi e procedure diagnostiche in regime ambulatoriale, senza necessità di…


